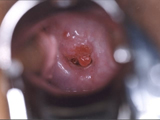
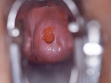
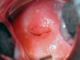
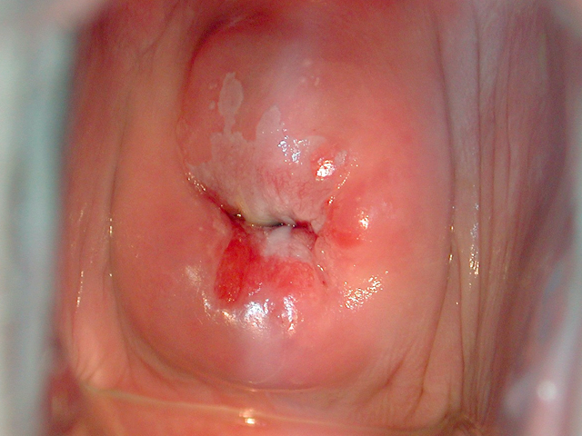
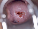
Visual Inspection
VIA
Visual Inspection
for Cervical Cancer Screening
  • vi
    • Vietnamese
    • English

Đăng nhập


hoặc Đăng ký

  • Trang đầu
  • Tổng quan
  • Thư viện
  • Bài tập tương tác
  • Tự lượng giá
  • Hướng dẫn
  • Thông tin ứng dụng

Thư viện

111 ảnh

© 2026 Trường Đại học Y- Dược, Đại học Huế

Ứng dụng quan sát mắt thường sàng lọc ung thư CTC v1.0